クリニック概要(初めての方へ)
このページの目次
専門医チームによる総合歯科治療・短期集中治療に対応しています

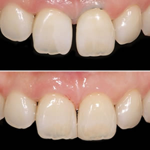
スター歯科クリニック高槻駅前院では、天然歯の保存を大切にした低侵襲な歯科治療を心がけております。マイクロスコープや歯科用CTなどの先端設備を活用し、インプラントや咬合分野の歯科医師を中心としたチーム医療の体制で診療を行っています。保険診療はもちろん、短期集中治療やフルマウス治療(包括的歯科治療)などの自費診療にも力を入れ、患者さま一人ひとりに合わせた治療計画をご提案いたします。
このページの目次

スター歯科クリニック高槻駅前院では、天然歯の保存を大切にした低侵襲な歯科治療を心がけております。マイクロスコープや歯科用CTなどの先端設備を活用し、インプラントや咬合分野の歯科医師を中心としたチーム医療の体制で診療を行っています。保険診療はもちろん、短期集中治療やフルマウス治療(包括的歯科治療)などの自費診療にも力を入れ、患者さま一人ひとりに合わせた治療計画をご提案いたします。