スター歯科クリニック高槻駅前院には、インプラント治療や咬合の専門医師、歯科麻酔認定医やトリートメントコーディネーターが在籍しており、各スタッフと密に連携を取りながらチーム全体で総合的な歯科治療をご提供しております。

スター歯科クリニック高槻駅前院は、
JR京都線「高槻駅」より1分という
通院に大変便利な歯医者さんです。
技術だけでなく患者さまの気持ちに寄り添った
優しい診療を心がけ、保険診療、自費診療ともに
しっかり丁寧に対応しております。
高槻市はもちろん、大阪府全域より
様々な年齢層の患者さまに通院いただいております。
なぜ当院が選ばれるのか、その理由をご紹介致します。
当院では、一度の治療時間を長くお取りし、治療期間を短縮する短期集中治療を実施しております。また、口腔内全体のお悩みや状況をまとめて解決するフルマウス治療(全体解決総合治療)にも対応しております。
歯は一度削ると、元に戻ることはありません。歯の寿命は残存する健康な歯質の量に比例するため、当院ではう蝕検知液の使用や拡大視野下での精密な処置により、歯の切削量を最小限に抑えるよう努めております。
当院では、患者さまが安心して治療に臨んでいただけるよう、丁寧でわかりやすいカウンセリングを心がけております。カウンセリングはトリートメントコーディネーター(TC)が担当し、患者さまのご不安やご希望をしっかりとお伺いします。その上で、患者さま一人ひとりに合わせた適切な治療計画を、担当ドクターがご提案いたします。


大阪府高槻市の数ある歯科医院の中から、スター歯科クリニック高槻駅前院のホームページをご覧いただき、誠にありがとうございます。当院は垂水区のスター歯科クリニック垂水院、明石駅前のスター歯科クリニック明石駅前院、西宮北口駅構内の西宮北口歯医者スター歯科に次ぐ、スター歯科グループの4医院目としてここ、高槻駅に開院しました。
口腔内環境は全身の健康にも深く関係しており、歯やお口の健康維持は豊かな人生を送るための重要な要素といえます。当院は患者さまが安心して生涯通える歯科医院、そして「人生のパートナー」でありたいと考えています。
そのため当院では、患者さま一人ひとりの疑問や不安にしっかりと向き合い、根本的な原因を丁寧に探ることはもちろん、各専門医師やスタッフによるチーム医療、先端の技術や設備を駆使し、将来にわたる健康と笑顔を支える歯科治療をご提案いたします。
また、当院では治療の技術面だけでなく、患者さまとの「対話」や「信頼関係」も重視し、TC(トリートメントコーディネーター)による分かりやすいカウンセリングや歯科衛生士担当制の導入、衛生管理の徹底など、患者さまが不安なく治療に取り組んでいただける環境づくりに努めております。
大阪府高槻市にお住まいの皆様が食事や会話を楽しみ、健やかな生活をお送りいただけるよう、スタッフ一同、心を込めてサポートさせていただきます。大阪府高槻市でかかりつけの歯科医院をお探しの際は、ぜひスター歯科クリニック高槻駅前院までお気軽にご相談ください。
日本口腔インプラント学会 会員
院長 加藤 創

スター歯科クリニック高槻駅前院では、患者さまの大切な天然歯の保存、痛みを抑えた低侵襲治療を基盤に日々診療を行っております。
予防歯科・歯周病、親知らずの抜歯をはじめ、入れ歯治療や歯を白くするホワイトニング治療、歯並びを改善する矯正治療(マウスピース矯正)など、一般歯科から専門治療まで幅広い診療に対応しております。
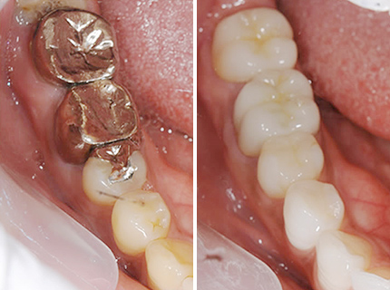
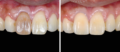
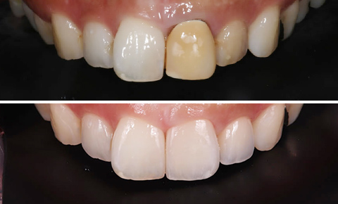
その中でも特にインプラント治療(ストローマン/オステム)、小児矯正・小児歯科(シーラント/プレオルソ/インビザラインファースト)、つめ物・かぶせ物(審美治療/セラミック治療)、虫歯治療(マイクロスコープ/拡大鏡)については、口コミなどで好評いただき、高槻市だけでなく大阪府全域から幅広い年代の患者さまに通院いただいております。



| 住所 | 〒569-1116 大阪府高槻市白梅町1-4 ビエラ高槻3F |
|---|---|
| TEL | 072-683-4184 |
| 最寄り駅 | JR京都線「高槻駅」より1分 |
スター歯科クリニック高槻駅前院は、垂水区のスター歯科クリニック垂水院、明石駅前のスター歯科クリニック明石駅前院、西宮北口駅構内の西宮北口歯医者スター歯科に次ぐ、スター歯科グループの4医院目として2025年にJR京都線「高槻駅」に開院した通院に便利な歯医者さんです。
当院では、老若男女さまざまな世代の患者さまが来院されており、バリアフリー構造やキッズスペースの完備など、快適に通院いただける環境づくりに努めております。
患者さまに不安なく治療を受けていただけるよう、トリートメントコーディネーターによる治療サポートや歯科衛生士担当制を導入し、患者さまとの信頼関係を重視した診療を心がけております。
治療については、マイクロスコープやCT、口腔内スキャナーなど様々な機器・設備の導入をはじめ、天然歯の保存を第一に考え、できるだけ歯を抜かない・削らない・痛みを抑えた低侵襲な歯科治療、インプラントや咬合の専門医師による精密な専門治療にも力を入れております。
また、患者さまに清潔な環境で快適な歯科治療をご提供するため、厳しい衛生基準を定め、クラスB滅菌器による滅菌処置や使い捨て用品の活用など、スタッフ一同、院内感染防止対策を徹底しております。
大阪府高槻市でかかりつけ歯科医院をお探しの際はぜひ、スター歯科クリニック高槻駅前院までお気軽にご相談ください。

スター歯科クリニックは高槻駅前院の他に「垂水」「明石駅前」「西宮北口駅前」の3ヵ所に拠点を構え、大阪府、兵庫県の皆さまの健やかなお口の健康をサポートしております。
どの医院でも、むし歯や歯周病の治療・予防はもちろん、インプラントや矯正、審美治療、入れ歯の製作まで、多岐にわたる歯科医療をご提供させて頂いております。
また、各分野において先進技術を取り入れ、専門性の高いケアの追求に努めています。心地よい空間ときめ細やかな対応で、患者さま一人ひとりに寄り添い、より美しく、健康的な笑顔につながる診療を目指しております。
キッズスペース完備
待ち時間も遊びながら
楽しい時間を過ごせます。