短期集中治療・フルマウス治療
このページの目次
1回の治療時間を長く・通院回数を少なくする短期集中治療
※短期集中治療は自費診療となります。

スター歯科クリニック高槻駅前院では、1回の治療時間を長めに確保し、必要な治療を一気に進めることで治療期間の短縮・通院回数を少なくする短期集中治療に対応しております。自費診療でもいいからできるだけ早く治療を終えたい方や頻繁に通院できない多忙な方へおすすめです。
※保険診療では、様々なルールが定められているため、1回の治療時間が短くなり、結果的に通院回数が多くなってしまいます。
短期集中治療をおすすめする理由とは?
虫歯や歯周病はある程度進行すると、日々のケアで改善したり、自然に治ったりすることはありません。虫歯や歯周病は細菌の感染によって生じるため、お口の中に虫歯や歯周病が複数ある場合、一箇所を治療している間にも細菌は増殖していき、治療期間が長くなることによって、周囲の健康な歯への感染リスクも高くなってしまいます。
短期集中治療では、治療を開始する前に費用や治療期間等を明確にし、必要な処置を一気に進めることができるため、虫歯でボロボロの状態であっても1回で綺麗にできるだけでなく、お口の中の健康な天然歯を守ることにも繋がるのです。
当院の短期集中治療はこんな方におすすめ
- 歯科治療が苦手で治療回数を少しでも減らしたい
- 仕事や学校、育児等で頻繁に通院できない
- 海外から一時帰国中や海外赴任前にお口や歯の問題を全て改善したい
- 遠方からの通院で大変なため、できるだけ通院回数を少なくしたい
- 虫歯や歯周病でボロボロの状態を一気に治したい
- 妊娠前に口腔内環境を整えたい など
口腔内の状態やご要望を考慮した適切な治療計画をご提案
短期集中治療では、口腔内の状態や患者さまのご要望を考慮し、適切な治療計画をご提案いたします。症状や治療方法、治療に伴うリスクや副作用、術後の注意点などをきちんとお伝えし、患者さまに納得・同意をいただいてから治療を開始いたします。
必要に応じてインプラント、矯正治療、審美治療などの併用など、患者さま一人ひとりに合った治療法をおすすめいたします。不安や気になることがあれば、お気軽にご相談ください。
スター歯科クリニック高槻駅前院の短期集中治療のポイント
スター歯科クリニック高槻駅前院で実施する短期集中治療のポイントについてご紹介いたします。
各専門医による精密治療をご提供

当院にはインプラントや咬合の専門医が在籍しております。多角的な診断により、一人ひとりのお口の状態や生活習慣に適した精密な治療をご提供いたします。
うたた寝の状態で治療が可能

当院では、歯科麻酔認定医の管理下で実施するリラックス睡眠麻酔(静脈内鎮静法)に対応しております。リラックス睡眠麻酔(静脈内鎮静法)は、うたた寝のような状態で治療を受けることができるため、歯科治療や手術が不安な方や長時間の治療の際におすすめです。
治療期間短縮・通院回数の減少

短期集中治療は、1回の治療時間を長くお取りし、必要な治療を一気に進めることができるため、治療期間の短縮や通院回数の減少に繋がります。
口腔内のトラブルリスクを軽減できる

悪い部分だけを治す対症療法ではなく、お口全体の状態を確認し、根本的な原因を解消するための全体治療が行えるため、将来的な口腔内トラブルのリスクを軽減できます。
治療期間の短縮が期待できるおすすめの治療について
スター歯科クリニック高槻駅前院で実施する短期集中治療により、期間の短縮等が期待できるおすすめの治療内容についてご紹介いたします。
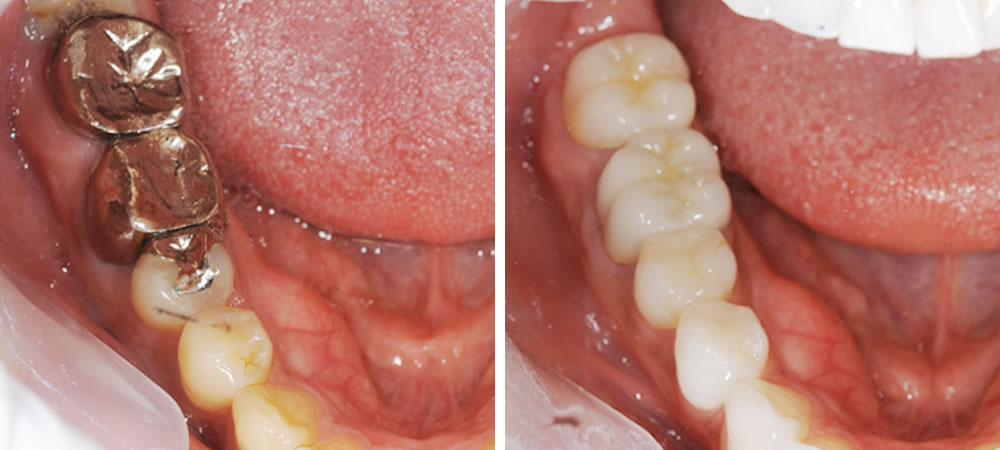
審美治療(セラミック治療)

審美治療(セラミック治療)は、歯の見た目を改善するための治療です。歯の数や口腔内の状態にもよりますが、麻酔下で必要な処置を集中的に行うことにより、最短2回の通院で美しい口元へ改善可能です。銀歯を白くしたい、歯の形状や色味を綺麗にしたいという方におすすめです。
インプラント治療(抜歯即時埋入)

インプラント治療は、歯を失った部分に人工歯根を埋入して歯の機能を回復する治療です。一般的なインプラント治療は、抜歯後の治癒や人工歯根と顎骨の結合期間が必要となるため、治療完了まで半年程の期間を要します。当院では、抜歯と埋入手術を同日に行う抜歯即時埋入インプラントに対応しているため、手術の回数や治癒期間の減少により、治療完了までの期間も短縮することができます。
虫歯治療・精密根管治療

虫歯が多数ある場合や神経にまで進行した虫歯がある場合は、複数回に別けて治療を行う必要があるため、治療期間が長くなってしまいます。短期集中治療では、マイクロスコープなどの機器を駆使し、麻酔下で虫歯の切削や神経の治療(根管治療)を一気に行うことで再発リスクの軽減、治療期間の短縮が可能です。
集中口腔ケア(歯周病など)

歯周病治療では、口腔内を清潔に保つことや生活習慣の改善が重要となり、ある程度進行している場合は治療期間が長期的になります。また、例え治療中であっても口腔内が不衛生な状態になると、細菌が繁殖してしまうため、症状が悪化する可能性もあります。短期集中治療によって、口腔ケアを徹底して行うことにより、歯周病の早期改善・治療期間の短縮が期待できます。
各治療の併用による全体解決総合治療(フルマウス治療)について

スター歯科クリニック高槻駅前院では、インプラント治療と様々な歯科治療を併用した全体解決総合治療(フルマウス治療)にも対応しております。患者さまのお口の状態、お悩みやご要望を考慮し、全顎的な治療計画をご提案いたします。
フルマウス治療①審美治療との併用
つめ物やかぶせ物が欠けていたり、外れてしまっていたりする場合は、インプラント治療と歯の見た目を改善する審美治療を併用することが可能です。
汚れが付着しにくいセラミックや周囲の歯に負担の少ないゴールドのつめ物・かぶせ物を入れることにより、虫歯や破折のリスクを軽減することができます。
フルマウス治療②矯正治療の併用
歯並びや咬み合わせが悪い場合は、インプラントに過剰な力がかかることによって、トラブルを起こす可能性が高くなります。
また、インプラント埋入後に矯正治療を行う場合は、スムーズに歯の移動ができないこともあります。患者さまの口腔内の状態を確認し、必要に応じてインプラント治療と矯正治療の併用をおすすめいたします。
フルマウス治療③虫歯治療・歯周病治療との併用
事前の検査で口腔内に虫歯や歯周病が確認できた場合は、それらの治療を優先して行います。
口腔内に虫歯や歯周病がある場合は、周囲の健康な歯やインプラントにも悪影響を及ぼし、将来的なトラブルリスクが高くなります。特にインプラント周辺の歯周組織が歯周病(インプラント周囲炎)になると、将来的にインプラントが脱離する可能性が高くなるため、事前に口腔内環境を整えてからインプラント手術を実施いたします。
高槻市で短期集中治療・フルマウス治療をご希望の方へ

スター歯科クリニック高槻駅前院では、お仕事や育児等で多忙な方へ短期集中治療をおすすめしております。一度の治療時間を長く確保して集中的に処置を行うことにより、症状の早期改善はもちろん、治療期間の短縮や来院回数を少なくすることが可能です。
また、当院では全体解決総合治療(フルマウス治療)にも対応しておりますので、お口全体の問題やお悩みを改善したいという方にもおすすめです。高槻市で短期集中治療・フルマウス治療をご希望の方は、ぜひ当院までお気軽にご相談ください。


